سوختگی لثه بعد از بلیچینگ

بلیچینگ دندان یکی از روشهای محبوب برای سفید کردن دندانها و بهبود ظاهر لبخند است. با این حال، برخی افراد پس از انجام این روش با مشکلاتی مانند سوختگی لثه مواجه میشوند که میتواند تجربهای ناخوشایند و حتی دردناک باشد. سوختگی لثه معمولاً به دلیل تماس مواد شیمیایی قوی مورد استفاده در بلیچینگ با بافت حساس لثه رخ میدهد. این مشکل میتواند از یک تحریک خفیف تا آسیبهای جدیتر متغیر باشد و نیاز به توجه و مراقبت دارد. در این مقاله، به بررسی علل سوختگی لثه، علائم آن، روشهای درمان و راهکارهای پیشگیری میپردازیم تا به شما کمک کنیم تجربهای ایمنتر از بلیچینگ داشته باشید.
بلیچینگ دندان یکی از روشهای محبوب برای سفید کردن دندانها و بهبود ظاهر لبخند است. با این حال، برخی افراد پس از انجام این روش با مشکلاتی مانند سوختگی لثه مواجه میشوند که میتواند تجربهای ناخوشایند و حتی دردناک باشد. سوختگی لثه معمولاً به دلیل تماس مواد شیمیایی قوی مورد استفاده در بلیچینگ با بافت حساس لثه رخ میدهد. این مشکل میتواند از یک تحریک خفیف تا آسیبهای جدیتر متغیر باشد و نیاز به توجه و مراقبت دارد. در این مقاله، به بررسی علل سوختگی لثه، علائم آن، روشهای درمان و راهکارهای پیشگیری میپردازیم تا به شما کمک کنیم تجربهای ایمنتر از بلیچینگ داشته باشید.
چرا لثه بعد از بلیچینگ می سوزد؟
سوختگی لثه یکی از عوارض احتمالی بلیچینگ است که به دلایل مختلفی رخ میدهد. این مشکل معمولاً به دلیل استفاده از مواد شیمیایی قوی مانند پراکسید هیدروژن یا پراکسید کاربامید ایجاد میشود که برای سفید کردن دندانها به کار میروند. اگر این مواد به درستی مدیریت نشوند یا لثهها به خوبی محافظت نشوند، ممکن است به بافتهای نرم دهان آسیب برسانند. با توجه به اهمیت کیفیت مواد استفاده شده، پزشک باید در هنگام خرید بلیچینگ دندان، توجه ویژهای به محصول خریداری شده داشته باشد. در ادامه، به سه دلیل اصلی این مشکل میپردازیم:
تماس مستقیم ماده بلیچینگ با بافت لثه
مواد سفیدکنندهای که در بلیچینگ استفاده میشوند، به دلیل خاصیت شیمیایی قوی خود میتوانند به بافت لثه آسیب بزنند. اگر ژل بلیچینگ به طور مستقیم با لثه تماس پیدا کند، ممکن است باعث تحریک یا حتی سوختگی شیمیایی شود. این مشکل بهویژه زمانی رخ میدهد که دندانپزشک یا تکنسین از محافظ لثه (مانند ژل محافظ یا رابر دم) استفاده نکند یا این محافظ به درستی قرار نگیرد. تماس طولانیمدت با این مواد میتواند باعث تخریب سطحی بافت لثه و ایجاد زخم شود.
حساسیت یا آلرژی به مواد سفیدکننده
برخی افراد به مواد شیمیایی موجود در ژلهای بلیچینگ حساسیت دارند. این حساسیت میتواند باعث واکنشهای التهابی در لثهها شود که به صورت سوزش، قرمزی یا حتی تورم ظاهر میشود. در موارد نادر، آلرژی شدید ممکن است به مشکلات جدیتری منجر شود.
خطا در روش انجام یا عدم محافظت کافی از لثه
انجام بلیچینگ توسط افراد غیرحرفهای یا در محیطهای غیراستاندارد میتواند خطر سوختگی لثه را افزایش دهد. برای مثال، اگر دندانپزشک تجربه کافی نداشته باشد یا از تجهیزات محافظتی مناسب استفاده نکند، احتمال نشت مواد سفیدکننده به لثهها بیشتر میشود. همچنین، بلیچینگ خانگی بدون نظارت حرفهای میتواند خطرناک باشد، زیرا ممکن است کاربر دستورالعملها را به درستی رعایت نکند.

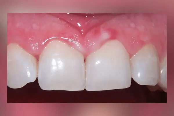
علائم سوختگی لثه بعد از بلیچینگ
سوختگی لثه میتواند با علائم زیر همراه است:
تغییر رنگ لثه
یکی از اولین نشانههای سوختگی لثه، تغییر رنگ آن است. لثه ممکن است به دلیل تماس با مواد سفیدکننده به رنگ سفید یا خاکستری درآید. این تغییر رنگ معمولاً به دلیل از بین رفتن لایه سطحی بافت لثه رخ میدهد. در موارد شدیدتر، ممکن است زخمهای سطحی روی لثه ظاهر شوند که نیاز به درمان فوری دارند.
احساس سوزش یا درد
احساس سوزش یا درد در لثهها یکی از شایعترین علائم است. این درد ممکن است بلافاصله پس از بلیچینگ یا چند ساعت بعد ظاهر شود. شدت درد میتواند از یک تحریک خفیف تا دردی شدید متغیر باشد که غذا خوردن یا حتی صحبت کردن را دشوار میکند.
تورم یا التهاب لثه
تورم و التهاب لثه یکی دیگر از علائم سوختگی است که معمولاً با قرمزی و حساسیت همراه است. این مشکل ممکن است چند روز طول بکشد و در صورت عدم درمان، به عفونت یا مشکلات دیگر منجر شود. در موارد خفیف، تورم به خودی خود بهبود مییابد، اما در موارد شدیدتر نیاز به مداخله پزشکی است.
درمان سوختگی لثه بعد از بلیچینگ
درمان سوختگی لثه بعد از بلیچینگ به میزان آسیب و شدت علائم بستگی دارد. خوشبختانه در بیشتر موارد، این سوختگیها سطحی هستند و با مراقبتهای خانگی ساده، ظرف چند روز بهبود مییابند. با این حال، اگر التهاب شدید، زخم باز یا درد مداوم وجود داشته باشد، مراجعه به دندانپزشک ضروری است تا درمان تخصصی انجام شود.
داروها و پمادهای ترمیمکننده لثه
برای کاهش التهاب و تسریع بهبود، دندانپزشک ممکن است پمادها یا ژلهای ترمیمی مانند ژلهای حاوی کلرهگزیدین یا داروهای ضدالتهاب تجویز کند. این محصولات به کاهش درد و التهاب کمک میکنند و از عفونت جلوگیری میکنند. همچنین، شستوشوی دهان با محلول آبنمک میتواند به تسکین علائم کمک کند.
مراجعه به دندانپزشک برای درمان تخصصی
در مواردی که سوختگی لثه شدید باشد یا علائم بهبود نیابند، مراجعه به دندانپزشک ضروری است. دندانپزشک ممکن است اقداماتی مانند تمیز کردن ناحیه آسیبدیده، تجویز آنتیبیوتیک یا حتی انجام اقدامات ترمیمی برای لثه را توصیه کند. همچنین، اگر سوختگی به دلیل خطای حرفهای رخ داده باشد، دندانپزشک میتواند روشهای جایگزین یا ایمنتری را پیشنهاد دهد.

چه مدت طول می کشد تا سوختگی لثه بهبود پیدا کند؟
مدت زمان بهبود سوختگی لثه به شدت آسیب و نوع درمان بستگی دارد. در موارد خفیف، لثهها معمولاً طی 3 تا 7 روز با مراقبتهای خانگی بهبود مییابند. با این حال، در موارد شدیدتر که زخم یا التهاب عمیقتر است، ممکن است بهبودی تا دو هفته یا بیشتر طول بکشد. استفاده منظم از داروهای تجویز شده و رعایت بهداشت دهان میتواند این زمان را کوتاهتر کند. اگر پس از یک هفته علائم بهبود نیافتند، حتماً به دندانپزشک مراجعه کنید تا از عوارض احتمالی مانند عفونت جلوگیری شود. عوامل مختلفی مانند سلامت عمومی بدن، سن و شدت آسیب نیز بر سرعت بهبودی تأثیر میگذارند.
مراقبت های بعد از بلیچینگ برای جلوگیری از آسیب لثه
پیشگیری از سوختگی لثه در درجه اول به رعایت نکات ایمنی در طول بلیچینگ و مراقبتهای پس از آن بستگی دارد. با انجام اقدامات پیشگیرانه، میتوانید خطر آسیب به لثهها را به حداقل برسانید و تجربهای ایمنتر داشته باشید. در ادامه، چند راهکار کلیدی برای مراقبت پس از بلیچینگ آورده شده است:
اقدامات پیشگیرانه:
از دندانپزشک بخواهید از محافظ لثه با کیفیت بالا استفاده کند.
از بلیچینگ خانگی بدون نظارت حرفهای خودداری کنید.
قبل از بلیچینگ، تست حساسیت به مواد سفیدکننده انجام دهید.
بهداشت دهان و دندان را به طور منظم رعایت کنید.




